接受器捐「6個月後身亡」!醫驚曝原因「來自捐贈者」
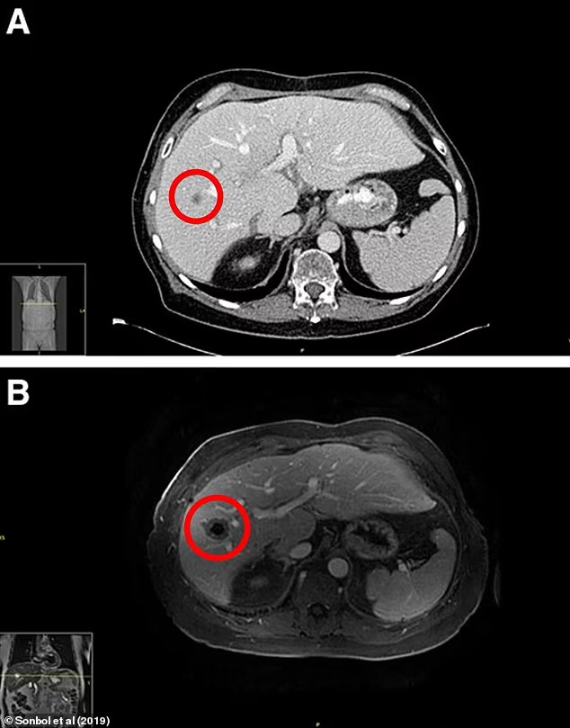
美國一名69歲男性因長期酗酒導致肝硬化,原本順利完成肝臟移植手術,以為能重獲新生,沒想到術後僅4個月,就在例行超音波檢查中被發現肝臟冒出兩顆來路不明的腫塊。更令人震驚的是,6週後又陸續出現多處新生腫瘤,數量多到難以精確計算,最終確診為高度侵略性的「轉移性肺癌」。

圖片來源:每日郵報
Advertisements
根據《每日郵報》報導,由於癌細胞已從原發位置大範圍擴散至全身各處,男子已失去再次接受肝臟移植的機會,同時必須停用抑制免疫排斥的藥物。儘管經過數月積極治療,癌細胞仍持續蔓延,男子最終不幸離世。透過PCR基因檢測結果顯示,這些癌細胞的特徵與男子原有的肝癌完全不同,證實捐贈者本身患有未被診斷出的晚期肺癌,且已轉移到肝臟。

圖片來源:每日郵報
Advertisements
據了解,這名捐贈者是位50歲男性,於2019年過世,過往健康檔案中並無任何癌症病史記錄。雖然他有吸菸習慣,但術前所有檢查項目都沒有發現異常狀況。專家指出,透過器官移植而傳染癌症的案例「極度罕見」,醫學文獻中僅有零星記載,而此案例更是全球首宗記錄。

圖片來源:每日郵報