1常見食物!2歲童誤食「卡在氣管跳舞」 插管搶命「右肺全塌」血氧剩63%
近日傳出,一名2歲男童,因為誤食一個食物,竟然釀成生命危險!根據《ETtoday新聞雲》報導,林口長庚兒科急診醫師吳昌騰近期分享驚險病例,男童在家玩耍時被照顧者餵食,沒想到在大笑與吸氣之間突然嗆入,隨即出現劇烈咳嗽、呼吸困難與嘔吐反應,緊急送往急診搶救。

圖片來源:《ETtoday》,示意圖。
Advertisements
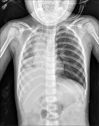
抵達醫院時,男童血氧一度維持在97%,但呼吸狀況明顯異常。醫療團隊立刻安排X光攝影與耳鼻喉科會診,然而兩次鼻咽鏡檢查都沒發現任何異物,影像報告看起來一切正常。但詭異的是,孩子的血氧數值忽高忽低,最低時僅剩下63%,只能仰賴高濃度氧氣勉強維持生命跡象,情況相當危急。

圖片來源:《自由時報》,示意圖。
深夜轉入加護病房後,醫師決定使用軟式支氣管鏡深入檢查,真相這才揭曉——原來有一顆花生卡在氣管裡,隨著呼吸節奏上下劇烈晃動,阻塞超過七成的氣道,形成致命的「球閥效應」,空氣能進卻無法順利排出,臨床上稱為「跳舞花生」。即便完成插管,花生仍持續移動,男童呼吸速率飆到每分鐘49次,低血氧問題始終無法改善。隔天清晨,花生滑進右主支氣管,導致右肺完全塌陷、縱膈腔偏移,情況更加惡化。醫療團隊緊急推進手術室,改用專門移除異物的硬式支氣管鏡處理,耳鼻喉科醫師順利取出這顆折磨孩子將近24小時的花生,術後血氧終於穩定回升至99%。